线粒体标志物介绍-产品咨询-资讯-生物在线

线粒体标志物介绍

作者:北京索莱宝科技有限公司 2024-01-09T00:00 (访问量:42288)

细胞器标志物是指某些细胞器上特异性表达的蛋白质或其他标记物,细胞器标志物抗体是细胞生物学中常用的研究工具。靶向特定的抗体有助于了解蛋白的亚细胞定位以及探究其生物功能,也可以在细胞器分离提取物的蛋白质印迹分析中用作阳性对照

线粒体是一种存在于大多数细胞中的由两层膜包被的细胞器,它不仅是细胞中能够制造能量的结构,还是细胞进行有氧呼吸的主要场所,有细胞“动力工厂”之称。线粒体虽然拥有专属的遗传物质和遗传体系,但是由于它的基因组大小有限,它只是一种半自主的细胞器。

 

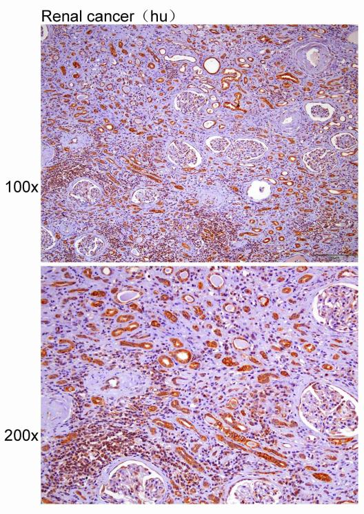
凋亡诱导因子(AIF)是在凋亡过程中被释放到胞质溶胶中的线粒体蛋白之一,它是第一个被发现调节胱天蛋白酶非依赖性凋亡的蛋白。AIF编码一种67kDa的蛋白质,在N-末端含有线粒体定位信号。

图片

图1 AIFM1抗体免疫组化结果图

(货号:K112704P)

 

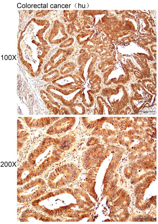
线粒体前蛋白移位酶(TOM)是一种多亚单位蛋白复合物,促进核编码的前体蛋白穿过线粒体外膜的输入。TOM20属于TOM家族,它是线粒体输入受体的一个亚单位,其主要作用是通过线粒体外膜转运胞质合成的线粒体蛋白质,进而促进蛋白质运动进入TOM40易位孔复合物。

图片

图1 TOMM20抗体免疫组化结果示意图

(货号:K107114P)

 

已有一些蛋白被鉴定可用作线粒体标志物(见表1)。

表 1 线粒体

图片

 

已有一些蛋白被鉴定可用作线粒体标志物(见下表)

 

产品货号

产品名称

K003425P

Anti-AIFM1

Polyclonal Antibody

K107587P

Anti-TOM20

Polyclonal Antibody

K108946P

Anti-ATP5F1A

Polyclonal Antibody

K002036P

Anti-HK1

Polyclonal Antibody

K111516P

Anti-HK1

Polyclonal Antibody

K001571P

Anti-PHB

Polyclonal Antibody

K106543P

Anti-HSPD1

Polyclonal Antibody

 

 

 

北京索莱宝科技有限公司 商家主页

地 址: 北京市北京经济技术开发区环科中路16号26幢3层301

联系人: 索莱宝-龚思雨

电 话: 010-50973130

传 真:

Email:3193328036@qq.com

相关咨询
ADVERTISEMENT