核糖体标志物-标准-资讯-生物在线

核糖体标志物

作者:北京索莱宝科技有限公司 2024-03-21T00:00 (访问量:10265)

胞器标志物抗体是细胞生物学中常用的研究工具。靶向特定的抗体有助于了解蛋白的亚细胞定位以及探究其生物功能,也可以在细胞器分离提取物的蛋白质印迹分析中用作阳性对照。

 

 

 

核糖体(Ribosome)主要由核糖体RNA(rRNA)和两个蛋白亚基(核糖体蛋白)构成,生物学功能主要是将mRNA的遗传密码按照正确的顺序翻译生成多肽链,是细胞内蛋白质合成的主要场所,因此,核糖体又被称为细胞内蛋白质合成的分子机器。原核细胞只有一种核糖体,而真核细胞具有多种核糖体(线粒体核糖体与细胞质核糖体,植物中还有叶绿体核糖体)。

 

 

 

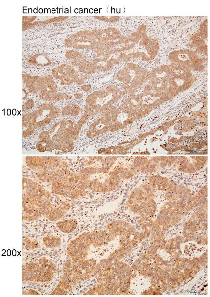
核糖体蛋白不仅在核糖体组装和蛋白质合成中起重要作用,还具有参与DNA修复、细胞发育调控和细胞分化等的核糖体外功能。40S核糖体蛋白S3(RPS3)属于核糖体蛋白S3P家族,是小核糖体亚单位的成分。RPS3作为修复紫外线核酸内切酶在修复各种DNA损伤中发挥作用。RPS3的核积累导致DNA修复活性在一定程度上增加,从而维持神经元存活。

图片

图1  RPS3抗体免疫组化结果图

(货号:K111323P)

 

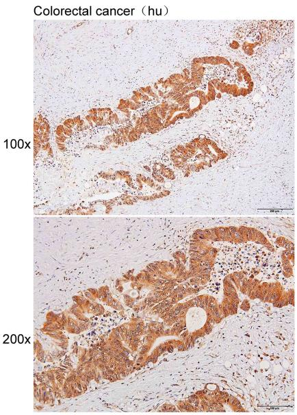
核糖体蛋白S20(RPS20)是40S核糖体亚单位的组成部分,属于核糖体蛋白质类的S10P家族。RPS20与小核仁RNA基因U54共转录,是与16S rRNA的5’和3’小结构域相互作用的初级结合蛋白。通过其与16S rRNA的相互作用,RPS20在30S核糖体亚单位的成核装配中起关键作用。

图片

图2  RPS20抗体免疫组化结果示意图

(货号:K108523P)

 

 

 

已有一些蛋白被鉴定可用作核糖体标志物(见表1)。

 

 

 

表1  核糖体标志物

图片

 

 

 

相关产品

 

产品货号

产品名称

K108836P

Anti-RPS3 Polyclonal Antibody

K107572P

Anti-RPS6 Polyclonal Antibody

K001961P

Anti-RPS20 Polyclonal Antibody

K003151P

Anti-RPS19 Polyclonal Antibody

K109975P

Anti-RPS6KA1 Polyclonal Antibody

K004501P

Anti-RPL11 Polyclonal Antibody

K107730P

Anti-RPL11 Polyclonal Antibody

 

 

 

北京索莱宝科技有限公司 商家主页

地 址: 北京市北京经济技术开发区环科中路16号26幢3层301

联系人: 索莱宝-龚思雨

电 话: 010-50973130

传 真:

Email:3193328036@qq.com

相关咨询
ADVERTISEMENT